دندانپزشکی مدرن با لیزر 88629607 - 021

فرایش

دندانپزشکی مدرن با لیزر فرایش

88629607 - 021
Email: farayeshit@gmail.com

آدرس
ملاصدرا خیابان شیرازی شمالی روبروی ساختمان های ایران سکنا ، نبش کوچه نرگس ساختمان پاپلی، ط اول واحد102

  • خانه
  • تعرفه ها
    • هزینه ایمپلنت دندان
    • هزینه جراحی لثه
    • هزینه جراحی دندان
    • هزینه لمینت دندان
    • هزینه بلیچینگ دندان
    • هزینه جراحی دندان عقل
    • هزینه درمان ریشه دندان
  • گالری
  • درباره ما
  • تماس با ما
  • مقالات
    • ارتودنسی
    • ایمپلنت
    • بلیچینگ
    • جراحی لثه
    • دایود لیزر
    • دندان عقل
    • دندانپزشکی
    • دهان و دندان
    • روکش دندان
    • عصب کشی
    • فلورایدتراپی
    • کامپوزیت
    • لمینت
  • دکتر فراز تیموری

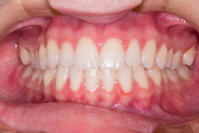
کانتورینگ لثه چیست و در کدام کلینیک انجام می شود؟

by دکتر / شنبه, ۱۷ فروردین ۱۳۹۸ / Published in جراحی لثه
کانتورینگ لثه

همانطور که میدانید وجود لبخند لثه ایی که از طریق رشد زیاد لثه ها و پوشش دندان ها از طریق لثه به وجود می آید که در هنگام خندیدن و لبخند زدن لثه ها نمای بیشتری پیدا می کند و دندان هارا کوتاه تر نشان می دهد. این مسئله سبب اختلال در زیبایی دندان و ظاهر افراد  می شود که به هیچ عنوان برای افراد مبتلا خوشایند نبوده و سعی در درمان و رفع این موضوع دارند که  این درمان از طریق کانتورینگ لثه امکان پذیر می باشد.

کانتورینگ لثه

کانتورینگ لثه ، تکنیکی در اصلاح لبخند لثه ایی می باشد که توسط متخصص دندانپزشکی زیبایی ایی که تخصص و فوق تخصص کانتورینگ لثه را دارا باشد اجرا خواهد شد . برای اجرای این درمان ، ابتدا درون لثه از طریق تزریق بی حسی موضعی ، بی حس می گردد و سپس بافت اضافی لثه برش زده شده و سپس جدا می شود  که معمولا از روش لیزر استفاده می شود و به مخاطبان عزیز استفاده از روش لیزر توصیه می شود زیرا رگ های خونی بسته میشود و و بهبودی سرعت می یابد .  لازم به ذکر است که در مواقعی  تغیر شکل لثه کافی نبوده و باید استخوان جلوی ریشه دندان را نیز کاهش داد.

نکاتی مهم در کانتورینگ لثه

نکته بسیار مهم و حائزاهمیت در کانتورینگ لثه ، مهارت و تجربه متخصص این زمینه می باشد زیرا این روش نیاز به دقت بسیار دارد به دلیل اینکه  لثه در حفاظت و نگهداری و سلامت دندان ها نقش پر رنگی را دارد به همین دلیل این روش باید اصولی و استاندارد صورت گیرد تا علاوه بر زیبایی بر سلامت لثه و دندان نیز آسیبی وارد نشود .  متخصص مربوطه این روش ، باید در برداشت بافت لثه دقت بالایی داشته باشد و این کار را کاملا اصولی و بسته به نیاز مراجع اندازه گیری و اجرا کند زیرا برداشت بیش از حد بافت لثه آسیب چشمگیری بر دندان و لثه وارد کرده و موجب عفونت می گردد.

کانتورینگ لثه

 ویژگی های کانتورینگ لثه

این روش علاوه بر ترمیم و درمان لبخند لثه ایی ، در درمان نا فرمی دندان ها ، نا متقارن بودن دندان ها ، درمان لثه های نا متقارن ،  درمان مشکلات لثه ایی و ایجاد لثه  هایی همتراز استفاده می شود و روشی تضمینی و کاملا کاربردی می باشد . این روش  در زیبایی دندان ها و لثه  نقش پر رنگی ایفا کرده و امروزه جزء اصلی ترین درمان های زیبایی دندانپزشکی به شمار می رود که توسط متخصصین دندانپزشکی زیبایی اجرا می شود.

 نقاهت در کانتوینگ لثه

بعد از اجرای کانتورینگ لثه ، لثه دچار درد و ورم می شود که به مدت یک هفته طول می انجامد ، اما نکته ایی که وجود دارد این روش  هیچ خللی در گفتگوی فرد و خوردن شخص ایجاد نمی کند و برای کاهش درد و ورم در طول این هفته مصرف ایبوپروفن ، طبق تجویز متخصص توصیه می شود .افرادی که از این روش استفاده می کنند باید بدانند که رعایت بهداشت بسیار مهم بوده و حتما باید دقت شود ، همچنین عزیزان باید  نخ دندان و مسواک را آرام و با احتیاط استفاده کنند خصوصا در هفته اول  و تمامی داروهای تجویز شده توسط متخصص را  به موقع و دقیق مصرف کنند.

به طور کلی ، کانتورینگ لثه اگر نزد متخصصی ماهر اجرا شود هیچگونه عوارضی را برای مراجعین خود به همراه نخواهد داشت و روشی راحت و بدون ریسک می باشد.

یکی از خدمات تخصصی کلینیک فرایش جراحی لثه می باشد که توسط متخصص جراح لثه و ایمپلنت انجام می شود شما عزیزان میتوانید جهت برآورد هزینه جراحی لثه و  کسب اطلاعات بیشتر با شماره های 02188629607 و 02188629613 تماس حاصل فرمایید تا مشاورین ما به بهترین شکل ممکن شما را راهنمایی کنند.

Tagged under: جراحی لثه, کانتورینگ لثه, کانتورینگ لثه چیست؟, لثه, متخصص جراحی لثه

About دکتر

گروه دندانپزشکی فرآیش، دندانپزشکی مدرن با لیزر و تجربه و دانش مدرن که خدمات دندانپزشکی فرایش عبارتند از (دندانپزشکی کودکان, دندانپزشکی با لیزر, ایمپلنت, ارتودنسی, جراحی لثه) کلینیک دندانپزشکی فرایش خدمات دندانپزشکی را با بهترین کیفیت به بیماران عرضه میکند.کلینیک فرایش برمبنای استفاده از لیزر دایود آینده دندانپزشکی مدرن

What you can read next

هزینه جراحی پریودنتال
هزینه جراحی پریودنتال چقدر می باشد؟
درمان بیماری لثه
علائم بیماری لثه چیست و چگونه درمان می شود؟
نزدیکترین دندانپزشکی به منزل شما
بیماری لثه چیست و مشکلات ناشی از آن کدام است؟

دیدگاهتان را بنویسید لغو پاسخ

نشانی ایمیل شما منتشر نخواهد شد. بخش‌های موردنیاز علامت‌گذاری شده‌اند *

جدیدترین مقالات

  • ایمپلنت و دندانپزشکی با اقساط 36 ماهه در کرج

    ایمپلنت و دندانپزشکی با اقساط 36 ماهه در کرج

  • ایمپلنت با بیمه ماد

    ایمپلنت با بیمه ماد

  • ایمپلنت با بیمه البرز

    ایمپلنت با بیمه البرز

  • ایمپلنت با بیمه ایران

    ایمپلنت با بیمه ایران

  • ایمپلنت با بیمه سینا

    ایمپلنت با بیمه سینا

  • ایمپلنت با بیمه آتیه سازان

    ایمپلنت با بیمه آتیه سازان

  • ایمپلنت با بیمه نیروهای مسلح

    ایمپلنت با بیمه نیروهای مسلح

  • سینوس لیفت در ونک

    سینوس لیفت در ونک

  • اوردنچر در تهران

    اوردنچر در تهران

  • کاشت دندان بدون ایمپلنت

    کاشت دندان بدون ایمپلنت

  • دندان پزشکی بدون درد

    دندانپزشکی بدون درد

  • دندانپزشکی کودکان

    دندانپزشکی کودکان (اطفال)

  • دندانپزشکی با لیزر

    دندانپزشکی با لیزر

  • جراحی لثه

    جراحی لثه چیست؟

  • ایمپلنت برای سن بالا

    ایمپلنت دندان برای سن بالا

دندانپزشکی مدرن با لیزر فرایش

۱- دندانپزشكي بدون درد ۲- جراحي لثه با ليزر ۳- ارتودنسی با به روز ترين متدهاي روز دنيا ۴- خدمات دندانپزشكی زيبايی ( روكش هاي تمام سراميك زيبايي ، جراحی لثه ، ایمپلنت دندان، لامينيت لومينيرز ،كامپوزيت زيبايي و …با ده سال گارانتي ) ۵- خدمات دندانپزشكي اطفال (دندانپزشکی کودکان) در بخشي كاملا مجزا ، كودكانه و تخصصی ۶- پوشش ها و محافظ های قوی و یکبار مصرف، شستشوی اولتراسونیک وسایل با حداقل دخالت پرسنل و بهره گيري از استانداردهای کنترلی حرفه ای ۷- ساير خدمات تخصصي و عمومي كاملا متفاوت را با ما تجربه كنيد 8- دندانپزشکی با لیزر

  • GET SOCIAL

© کلیه حقوق مادی و معنوی این سایت محفوظ و متعلق به دندانپزشکی فرایش می باشد. طراحی شده با ❤️ توسط نئونت

TOP