علائم بیماری لثه چیست و چگونه درمان می شود؟
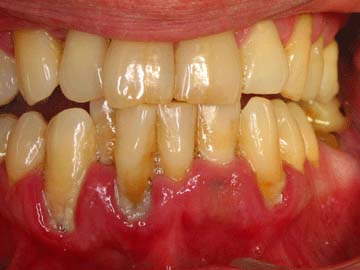
لثه های سالم، محكم و صورتي رنگ هستند به طور متناسب اطراف دهان را گرفته و به راحتي خونریزی لثه نمي كند . اما لثه های آسیب دیده خونریزی دهان ، بوی بد دهان ، تغییر دندان ها ، لثه های قرمز و متورم ، تشکیل جرم دندان ها ، دندان های حساس ، دندان های لق ، فشردگی و سایش دندان ها و . . را به همراه دارند.
علائم بیماری لثه
همانطور که میدانید بیماری های لثه انواع و اقسام مختلفی دارد که هر کدام از آن ها علائم های خاص خود را جهت بروز بیماری دارند در این بخش ما شایع ترین بیماری های لثه را معرفی کرده و علائم بیماری لثه را برای شما عزیزان بیان می کنیم.
علائم بيماری لثه
اين نوع بيماری، معمولا بدون درد است. بنابراين ممكن است از آن بي اطلاع باشيد و در پي درمان آن نبوده ايد.
۱- لثه ها قرمز ,متورم و حساسند.
۲- به راحتي به هنگام مسواك زدن و نخ كشيدن خونريزي مي كنند.
علائم بیماری لثه Periodontitis
اما علايم بيماري Periodontitis واضح تر هستند
۱- فاصله لثه از دندان بيشتر مي شود،
۲- بوي بد دهان كه به راحتي از بين نميرود،
۳- از لثه ها چرك خارج مي شود،
۴- تغييرات در هماهنگي بين دندان ها و درد به هنگام گاز زدن،
۵- افتادن دندان میگردد.
اگر فكر مي كنيد بيماري لثه داريد، فورا به دندانپزشک لثه مراجعه كنيد چرا كه درمان سريعتر آن، مانع از بدتر شدن اوضاع مي شود.
علائم بيماري لثه چگونه تشخيص داده مي شود؟
براي اين كار، دندانپزشک موارد زير را بررسي مي كند:
۱- خونريزي از لثه،
۲- سفت و سخت شدن پلاك و رسوب هاي بالا و پايين لثه ها،
۳-محل هاي دور شدن لثه از دندان ها، حفره هايي كه بين لثه و دندان به وجود آمده است .ممكن است دندانپزشک از اشعه ايكس براي بررسي استخوان آسيب ديده و ساير مشكلات، استفاده كند.
بیماری لثه چگونه درمان مي شود؟
درمان سريع لثه بسيار مهم است .اين كار به پيشگيري از آسيب لثه ,كنترل عفونت و پيشگيري از افتادن دندان,كمك مي كند.
درمان های خانگی برای لثه
• حداقل دو بار در شبانه روز مسواك و يك بار نخ دندان بكشيد.
• به طور منظم, براي چكاب و تميز كردن دندان به دندانپزشك مراجعه كنيد.
• سيگار و دخانيات را كنار بگذاريد
در بيماري gingivitis ,ممكن است دندانپزشك براي مبارزه با عفونت، انتي بيوتيك تجويز كند كه انواع مختلفي دارند. يك سري از آنها را مستقيما روي لثه قرار مي دهند. گروه ديگر قرص ها و كپسول ها هستند و نوع ديگر ان دهانشويه ها هستند همچنین متخصص ممكن است برايتان خمير دندان ضد باكتري تجويز كند كه اگر به صورت منظم مصرف شوند .باعث كاهش التهاب لثه و پلاك دندان مي شود.
دربيماري periodontitis ,دندانپزشك دندان را با استفاده از روش root planing and scaling تميز مي كنند كه باعث پاك شدن رسوبات و پلاك هاي بالا و پايين خط لثه ها مي شود .اگر اين درمان ها نتوانست عفونت را كنترل كند يا اگر آسيب جدي به لثه و دندان وارد شده ممكن است احتياج به جراحي داشته باشيد.
جراحی لثه
۱- جراحي لثه Gingivectomy :براي يافتن حفره هاي بين لثه و دندان كه محل تجمع پلاك است.
۲- جراحی لثه فلپ (flap) : براي تميز كردن ريشه دندان و ترميم استخوان آسيب ديده
۳- برداشتن دندان لق يا آسيب ديده
بعد از جراحي لثه بدون درد ممكن است به آنتي بيوتيك ها براي سركوب عفونت احتياج داشته باشيد. بعد از درمان دهان و دندان را مرتب مسواك و نخ بكشيد تا دوباره گرفتار بيماري نشويد و مانع از افزايش پلاك مي شود. امكان دارد دندانپزشک يك دهانشويه ضد باكتري برايتان تجويز كند.
علت اصلی بروز علائم بیماری لثه
علت اصلی بروز بیماری های لثه بر اثر میکروب ، باکتری و پلاک های انباشته شده بر روی دندان ها می باشد که به صورت جرم در آمده و سبب آسیب به دندان و لثه ها میگردند ، این جرم ها موجب پوسیدگی عفونت لثه شده و در صورت درمان نشدن موجب تحلیل لثه میگردند که عواقب شدید همچون لق شدن دندان ها را به همراه دارند بنابراین توصیه میشود افراد در صورت جرم ، هرچه سریعتر برای جرمگیری توسط دندانپزشک اقدام نمایند .
چگونه مي توانيد از بروز بيماري لثه پيش گيري كنيد؟
اين بيماري در افراد بزرگسال شايعتر است اما مي تواند در هر سني حتي در بچه ها رخ دهد بنابراين عادات درست در تمام طول زندگي از اهميت ويژه اي برخوردار است
۱ – دندان ها را دو بار در شبانه روز با خمير دندان حاوي فلورايد مسواك بزنيد (هنگام صبح و قبل از رفتن به رختخواب
۲- روزي يك بار نخ دندان بكشید
۳- براي تميز كردن و چكاب دندان ها مرتبا به دندانپزشك مراجعه كنيد.
۴ – دخانيات را كنار بگذاريد
شما عزیزان میتوانید جهت مشاوره تکمیلی در مورد جراحی لثه تحلیل رفته با متخصص لثه با شماره های 02188629607 و 02188629613 تماس حاصل فرمایید تا مشاورین ما به بهترین شکل ممکن شما را راهنمایی کنند



