بیماری لثه چیست و مشکلات ناشی از آن کدام است؟
سه شنبه, ۱۸ اسفند ۱۳۹۴
by دندانپزشکی
بیش از سه چهارم از بزرگسالان بالای ۳۵ سال از بیماری لثه ( پریودنتال ) رنج می برند. در حالی که بسیاری از افراد نوع کمتر شدید آن را به نام التهاب لثه دارند، اما تقریبا بین ۵٪ تا ۱۵٪ افراد به یک نوع بسیار جدی تر از بیماری های لثه که توسط پریودنتیست انجام
- Published in جراحی لثه
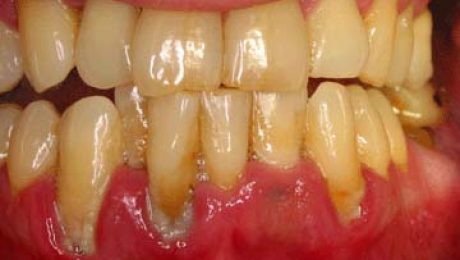
علائم بیماری لثه چیست و چگونه درمان می شود؟
سه شنبه, ۱۸ اسفند ۱۳۹۴
by دندانپزشکی
علائم بیماری لثه چیست و چگونه درمان می شود؟ لثه های سالم، محكم و صورتي رنگ هستند به طور متناسب اطراف دهان را گرفته و به راحتي خونریزی لثه نمي كند . اما لثه های آسیب دیده خونریزی دهان ، بوی بد دهان ، تغییر دندان ها ، لثه های قرمز و متورم ، تشکیل
- Published in جراحی لثه


