بیماریهای لثه چگونه درمان مي شود؟
سه شنبه, ۱۸ اسفند ۱۳۹۴
by دندانپزشکی
هدف درمان بیماریهای لثه پيوند دادن دوباره لثه هاي سالم و دندان ,كاهش تورم,كاهش عمق حفره ها كاهش خطر عفونت و ممانعت از پيشرفت بيماري است. روش درمان بسته به مرحله بيماري نحوه ي پاسخ به درمانهاي فوري و سلامت دهان شما دارد. روش هاي درمان از درمان هاي بدون جراحي كه رشد باكتري ها
- Published in جراحی لثه
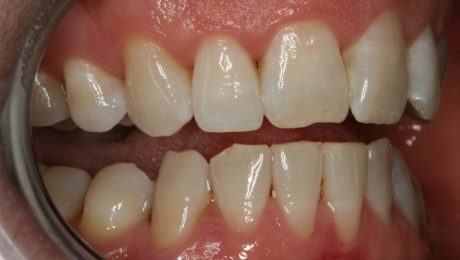
بيماری لثه چيست؟
سه شنبه, ۱۸ اسفند ۱۳۹۴
by دندانپزشکی
بيماری لثه , عفونت در بافت لثه و استخوان احاطه كننده دندان است كه بيماري Periodontal نيز ناميده مي شود . دو نوع بيماری لثه داريم : بيماري Gingivitis بيماري است كه تنها روي لثه ها تاثير مي گذارد. روي بافت نرمي كه اطراف دندان را احاطه كرده است. بيماري periodontitis از بیماری Gingivitis شديدتر
- Published in جراحی لثه


